Cứu người đàn ông bị đạn bắn xuyên ngực nguy kịch
Thông tin từ Bệnh viện Đa khoa Thống Nhất (Đồng Nai) cho biết, đến ngày 21/4, tình trạng sức khỏe của anh P.V.H (32 tuổi, ngụ xã Thanh Sơn) bị đạn bắn xuyên ngực đã qua cơn nguy kịch, chỉ số sinh tồn ổn định, tỉnh táo và đang tiếp tục được theo dõi tại bệnh viện.
Trước đó, khoảng 11 giờ ngày 20/4, anh P.V.H nhập viện trong tình trạng sốc nặng, mất máu nhiều.
Qua thăm khám, các bác sĩ xác định bệnh nhân bị viên đạn đâm từ sau lưng bên phải xuyên sang bên trái, với đường đi cực kỳ hiểm hóc, áp sát nhiều cấu trúc sinh tử trong lồng ngực.
Nhận thấy tình hình nguy cấp, Bệnh viện Đa khoa Thống Nhất đã kích hoạt quy trình báo động đỏ nội viện, huy động 3 chuyên khoa: Ngoại tim mạch - lồng ngực, Chấn thương chỉnh hình và Phẫu thuật - gây mê hồi sức để phối hợp.
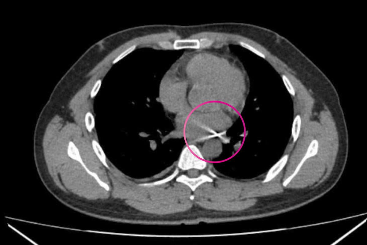
Các bác sĩ cho biết, trong quá trình phẫu thuật, từng thao tác bóc tách quanh động mạch chủ ngực xuống được thực hiện hết sức thận trọng nhằm tránh nguy cơ vỡ mạch máu lớn. Sau khi xác định động mạch chủ an toàn, ê-kíp đưa ra quyết định quan trọng là mở màng ngoài tim để tìm dị vật.
Quá trình tìm kiếm, các bác sĩ phát hiện đầu đạn có kích thước khoảng 0,3 x 0,5 cm, mắc kẹt tại vị trí góc giữa động mạch chủ và động mạch phổi. Sau hơn 4 giờ phẫu thuật, ca mổ thành công.
Theo các bác sĩ trực tiếp thực hiện ca phẫu thuật, dù đầu đạn có kích thước nhỏ nhưng chỉ cần lệch vài milimet hoặc bỏ sót trong quá trình kiểm tra, nguy cơ tổn thương tim, mạch máu lớn là rất cao, có thể dẫn đến tử vong./.
Lê Xuân

